Kemik dokusunun içinde oluşan kanserli hücrelerin büyümesiyle meydana gelir. Kemikler vücudun temel destek yapılarından biri olup, kanserli hücrelerin bu yapıya zarar vermesi ciddi sağlık sorunlarına yol açar. Kemik kanseri, ilk başta vücutta başka organlarda bulunan kanserlerin yayılması ile oluşabileceği gibi, aynı zamanda kemikte başlayarak da gelişir. Bu tür kanserler genellikle “primer kemik kanseri” olarak adlandırılır.
Kemik Kanseri Türleri

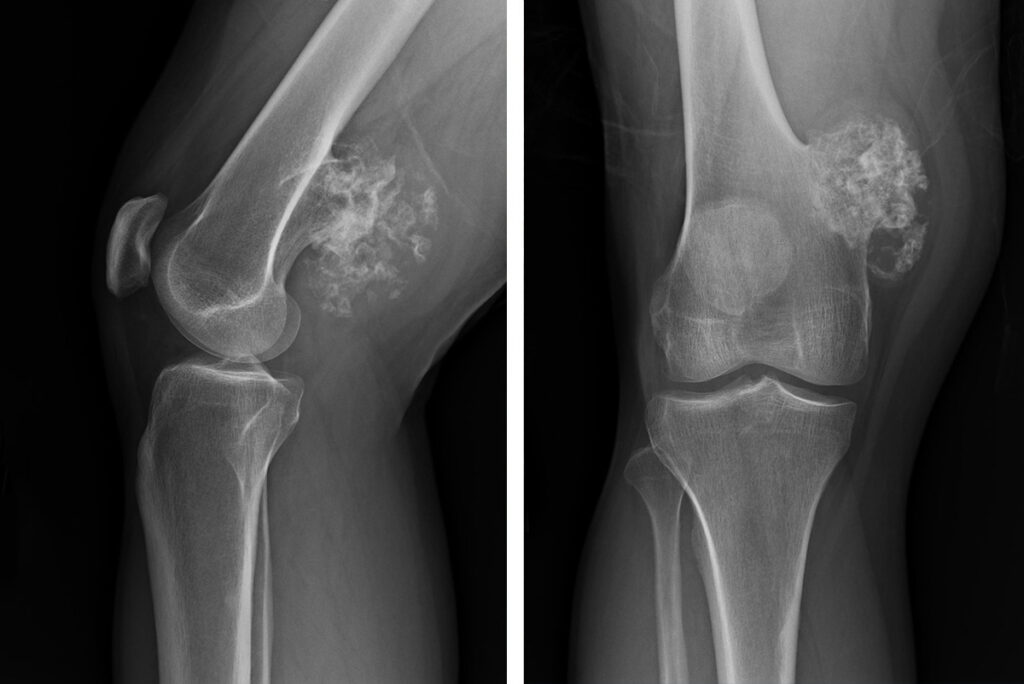
Osteosarkom, kemiklerde en sık görülen primer kanser türüdür. Genellikle çocuklar ve genç yetişkinlerde görülür. Bu tür kanser genellikle büyük kemiklerde, özellikle diz ve omuz gibi eklem bölgelerinde ortaya çıkar.
Ewing sarkomu, nadir fakat agresif bir kemik kanseri türüdür ve genellikle 10 ile 20 yaşları arasındaki gençlerde görülür. Ewing sarkomu, pelvis, uyluk kemiği veya kaburga gibi uzun kemiklerde başlar. Kondrosarkom, kıkırdak dokusunda başlayan kanser türüdür. Kıkırdak, kemikleri kaplayan yumuşak doku olup, bu kanser türü daha çok orta yaş ve ileri yaştaki bireylerde görülür.
Kemik Kanseri Belirtileri
Kemik kanseri belirtileri başlangıçta belirgin olmayabilir. Ancak zamanla daha belirgin hale gelir. En yaygın belirtisi, etkilenen bölgede hissedilen sürekli ağrıdır. Ağrı başlangıçta hafif olabilir. Ancak zamanla şiddetlenebilir ve gece uyandıracak kadar rahatsız edici olabilir. Kanserli bölgede şişlik meydana gelebilir. Bu şişlik genellikle ağrılıdır ve gözle görülür bir şekilde gelişebilir.
Özellikle eklem bölgelerinde, hareketi kısıtlayan bir ağrıya yol açabilir. Bu durum, hastanın günlük aktivitelerini zorlaştırabilir. Kemik dokusunu zayıflatarak kırıklara yol açabilir. Bir kemik kırıldığında, bir kişi düşme veya küçük bir darbe sonucu bile ciddi yaralanmalar yaşayabilir. Bazı hastalar ateş, yorgunluk ve genel halsizlik gibi grip benzeri belirtiler de yaşar.
Kemik Kanseri Nedenleri ve Risk Faktörleri
Ailede kemik kanseri geçmişi olan bireylerde risk daha yüksek olabilir. Ayrıca, bazı genetik sendromlar, örneğin Li-Fraumeni sendromu ve Rothmund-Thomson sendromu, riski artırabilir. Osteosarkom gibi bazı türler gençlerde daha yaygınken, kondrosarkom daha çok orta yaşlı ve yaşlı bireylerde görülür.
Radyoterapi gibi tedavi yöntemleriyle geçmişte yüksek dozda radyasyona maruz kalan kişilerde risk artabilir. Paget hastalığı, kemiklerin anormal şekilde büyümesine yol açan bir hastalıktır. Bu durum riski artırabilir.
Kemik Kanseri Tanı Yöntemleri
Kemik kanseri tanısı, doktorların hastanın tıbbi geçmişini ve fiziksel muayenesini değerlendirerek konur. Röntgen, ilk değerlendirme için kullanılan yaygın bir yöntemdir. Kemiklerdeki anormal değişiklikleri gösterebilir. Daha ayrıntılı görüntüler sağlamak için MR ve bilgisayarlı tomografi (BT) taramaları kullanılabilir. Kanserin türünü ve evresini belirlemek için kanserli bölgeden hücre örnekleri alınarak laboratuvar ortamında incelenir.
Kemik Kanseri Tedavisi

Kemik kanseri tedavisi, kanserin türüne, yayılma durumuna ve hastanın genel sağlık durumuna göre değişir. Kanserli kemiğin cerrahi olarak çıkarılması tedavinin temel yöntemidir. Bazen, protez yerleştirilmesi gerekebilir. Radyoterapi, tedavide kullanılan bir başka önemli yöntemdir.
Kanserli hücreleri öldürmeye yardımcı olmak için yüksek enerji ışınları kullanılır. Kemoterapi, kanserli hücreleri hedef alarak tüm vücutta yayılan kanserin tedavi edilmesine yardımcı olur. Kemoterapi genellikle cerrahi müdahale ile birlikte uygulanır. Hedeflenmiş tedavi türü, kanser hücrelerinin büyümesini engellemeye yardımcı olan ilaçlar kullanır.
Sonuç
Kemik kanseri ciddi bir sağlık sorunu olsa da erken teşhis ve tedavi ile iyileşme şansı yüksektir. Semptomlar göz ardı edilmemeli, özellikle kemik ağrıları veya şişlikler durumunda hemen bir doktora başvurulmalıdır. Tedavi süreci, tedavi planına uygunluk ve hastanın genel sağlık durumu göz önünde bulundurularak belirlenir.


