

(DİZ EKLEMİ OSTEOARTRİTİ)
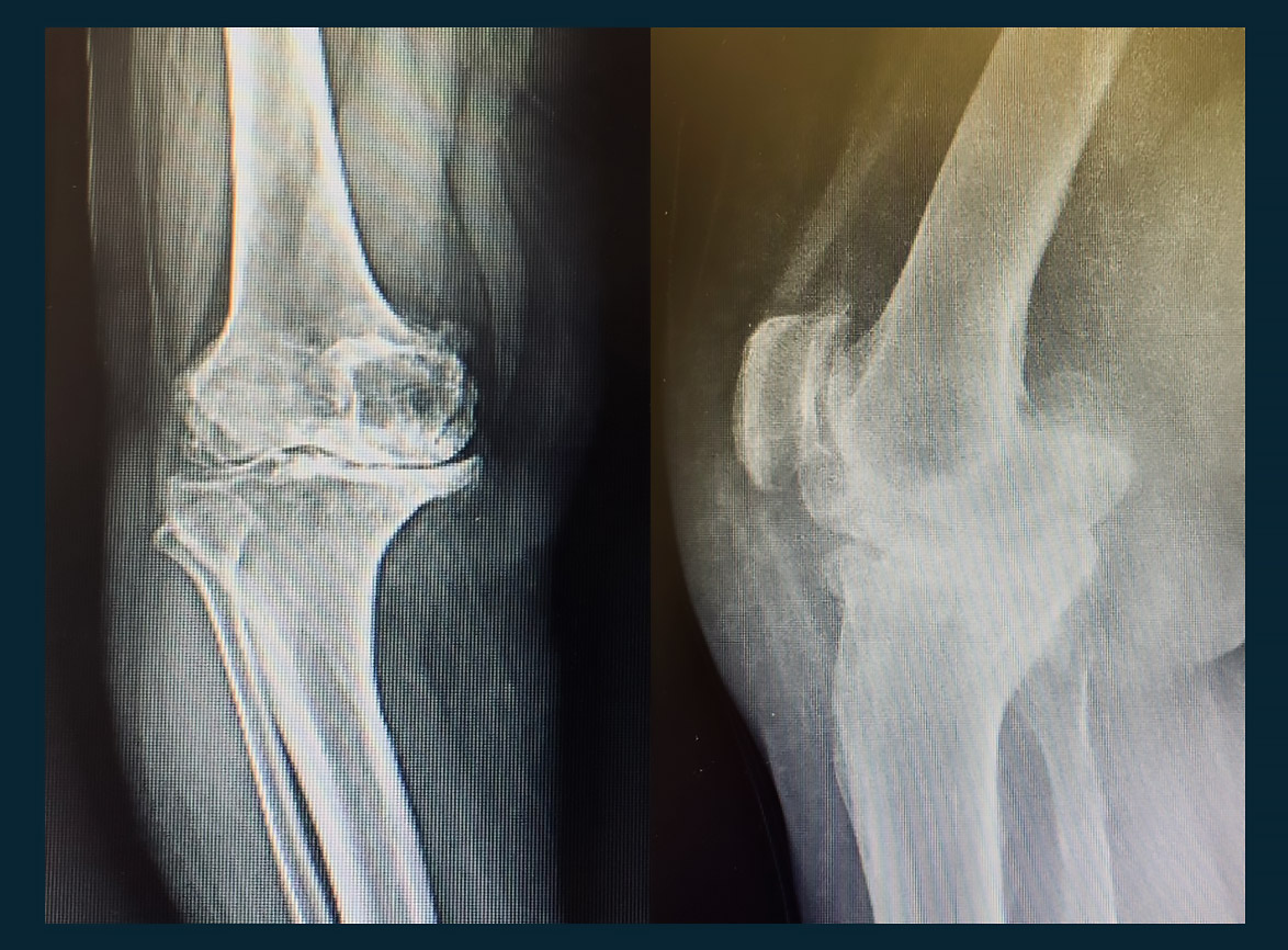
Gonartroz, diz eklemindeki kıkırdak dokusunun zamanla aşınması ve dejenerasyonu sonucu ortaya çıkan bir tür eklem hastalığıdır. Bu durum genellikle yaşlanma süreciyle ilişkilidir, ancak bazen genetik faktörler, aşırı kilo, eklem travmaları veya belirli meslekler gibi diğer faktörler de etkili olabilir. Gonartroz, diz ekleminde ağrı, şişlik, sertlik ve hareket kısıtlılığı gibi belirtilerle kendini gösterir.
Bu süreçlerin neticesinde, diz ekleminde ağrı, şişlik, sertlik ve hareket kısıtlılığı gibi gonartroz belirtileri ortaya çıkar. Tedavi genellikle bu süreçleri yavaşlatmaya, semptomları yönetmeye ve hastanın yaşam kalitesini artırmaya odaklanır.
Gonartroz tedavisi, hastanın yaşına, semptomların şiddetine, genel sağlık durumuna ve aktivite seviyesine bağlı olarak kişiselleştirilir. Tedavi planı ortopedi ve travmatoloji uzmanı tarafından belirlenir ve düzenli takip gerektirir.
Bu konu hakkında yazılanlar özet olup, kısa bilgilendirme amaçlıdır. Konuya ilişkin daha detaylı bilgi için lütfen ortopedi ve travmatoloji uzmanına başvurun.